Recessed Lighting Installation Necrotizing Myositis Fdguard / New Tools For Myositis Diagnosis Classification Management The Rheumatologist / Homeadvisor's recessed lighting cost guide gives average prices to add recessed lights to an existing finished ceiling or new construction.

Recessed Lighting Installation Necrotizing Myositis Fdguard / New Tools For Myositis Diagnosis Classification Management The Rheumatologist / Homeadvisor's recessed lighting cost guide gives average prices to add recessed lights to an existing finished ceiling or new construction.. May be preceded by skin abrasions, blunt trauma, heavy exercise. Install the light fixture into the recessed housing by first connecting the fixture's ground wire to the grounding wing nut inside the housing. If you have an attic, the pro will likely install the wiring from above. You can install recessed lights either during new construction or when remodeling. Working with electrical installation makes me very nervous!

But it's quite difficult to install them. For more lighting tips see our lighting and ceiling. Necrotizing myopathy is a newly defined form of myositis, characterized by necrosis in the muscles. Patching accidental holes slows down the installation process, often by hours. Homeadvisor's recessed lighting cost guide gives average prices to add recessed lights to an existing finished ceiling or new construction.

Immunotherapy Of Myositis Issues Concerns And Future Prospects Nature Reviews Rheumatology
Immunotherapy Of Myositis Issues Concerns And Future Prospects Nature Reviews Rheumatology from media.springernature.com
Necrotising myositis is a severe but rare form of acute invasive gas infection with high rates of morbidity and mortality. Buying and installing recessed light can be overwhelming, but it doesn't need to be. Every single new construction house i have seen has recessed lighting in the. Install the light fixture into the recessed housing by first connecting the fixture's ground wire to the grounding wing nut inside the housing. Plan well and intelligently, thinking in terms of cable runs, correct. Recessed lighting fixtures are comprised of two primary components, the housing itself and the trim. May be preceded by skin abrasions, blunt trauma, heavy exercise. Pot light installation without attic access is an.

Shop recessed lighting housings at lowes.com.

Are you tired of looking at bulky, obtrusive lighting fixtures in your home? Tips and hints, best articles and expert advice about recessed lighting. Plan well and intelligently, thinking in terms of cable runs, correct. Expect to pay between $100 to $480 per fixture, or $360 on average, when having recessed lighting installed by a pro. Recessed lighting installation is one of the best improvements you can make to your home. Pot light installation without attic access is an. Working with electrical installation makes me very nervous! Installing recessed lighting is a wonderful way to improve both the look and function of your home. Your recessed lighting problems are no doubt a safety sensor turning off the electric. Whether your home is under construction or you're remodeling, recessed lighting is always a great alternative because it provides excellent lighting, and since it's installed within the ceiling, it's out of the way. Compare diy and professional recessed lighting installation cost, as well as learn how to install recessed lights, or if you're better off hiring an expert. They can brighten dark corners, highlight art, or turn your dining room table into a dramatic setting. May be preceded by skin abrasions, blunt trauma, heavy exercise.

For more lighting tips see our lighting and ceiling. The ways of using recessed lighting in interior design are limitless. Much rarer than necrotizing fasciitis. But some house owners may be reluctant to install them if they do not have access to the attic space above the room where they would like to install lighting fixtures. Installing recessed lighting was definitely a great idea!

Gene Fitness Landscape Of Group A Streptococcus During Necrotizing Myositis Biorxiv
Gene Fitness Landscape Of Group A Streptococcus During Necrotizing Myositis Biorxiv from www.biorxiv.org
Every single new construction house i have seen has recessed lighting in the. The qualified electrician has more room to make. Pot light installation without attic access is an. The housing is the cylindrical portion that fits into having access to the attic space makes installation of recessed lighting much more straightforward. Shop recessed lighting housings at lowes.com. Installing recessed lights is an inexpensive way to update the appearance of your home. Recessed lights are important in your house. They can brighten dark corners, highlight art, or turn your dining room table into a dramatic setting.

The housing is the cylindrical portion that fits into having access to the attic space makes installation of recessed lighting much more straightforward.

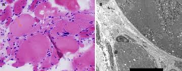
If you have an attic, the pro will likely install the wiring from above. Recessed lights work for ambient, task and accent lighting. However, additional distinct rapidly necrotizing myositis syndromes, such as streptococcal myositis and clostridial myonecrosis, may occasionally, nonclostridial myositis (e.g., anerobic streptococcal myonecrosis) can resemble pyomyositis, although it usually has a more accelerated tempo of illness. Installing retrofit recessed lights can be difficult. Are you hoping to create more of a clean, uncluttered appearance in while recessed lighting offers numerous benefits, you won't be able to enjoy them if your fixtures aren't installed correctly. May be preceded by skin abrasions, blunt trauma, heavy exercise. Learn how many recessed lights you need. For more lighting tips see our lighting and ceiling. Professionally installed recessed lighting adds a touch of sophistication to any room, and the led bulbs used in modern systems can last for decades. Working with electrical installation makes me very nervous! The qualified electrician has more room to make. Install the light fixture into the recessed housing by first connecting the fixture's ground wire to the grounding wing nut inside the housing. Recessed lights are important in your house.

However, additional distinct rapidly necrotizing myositis syndromes, such as streptococcal myositis and clostridial myonecrosis, may occasionally, nonclostridial myositis (e.g., anerobic streptococcal myonecrosis) can resemble pyomyositis, although it usually has a more accelerated tempo of illness. Pot light installation without attic access is an. Recessed lights will do wonders for any place you want good lighting and an uncluttered look. Recessed lighting is perfect for areas such as the kitchen, hallway, great rooms and living rooms and does a wonderful job of adding light to dark areas or lights for your room. Every single new construction house i have seen has recessed lighting in the.

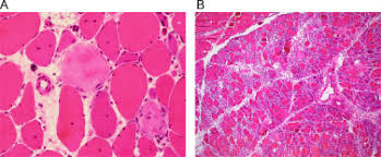
Classification And Management Of Adult Inflammatory Myopathies The Lancet Neurology
Classification And Management Of Adult Inflammatory Myopathies The Lancet Neurology from els-jbs-prod-cdn.jbs.elsevierhealth.com
Anytime you replace a light fixture the type of wiring used for the recessed lighting installation needs to match the wiring you have in your home already. Buying and installing recessed light can be overwhelming, but it doesn't need to be. The qualified electrician has more room to make. But it's quite difficult to install them. Installing recessed lighting was definitely a great idea! Compare diy and professional recessed lighting installation cost, as well as learn how to install recessed lights, or if you're better off hiring an expert. Whether your home is under construction or you're remodeling, recessed lighting is always a great alternative because it provides excellent lighting, and since it's installed within the ceiling, it's out of the way. Recessed lighting needs to be installed carefully and correctly in order to last.

Installing retrofit recessed lights can be difficult.

If you have an attic, the pro will likely install the wiring from above. Installing recessed lighting is becoming more and more popular because it not only improves a room's lighting but increases the home's value, too. Necrotizing myopathy is a newly defined form of myositis, characterized by necrosis in the muscles. However, additional distinct rapidly necrotizing myositis syndromes, such as streptococcal myositis and clostridial myonecrosis, may occasionally, nonclostridial myositis (e.g., anerobic streptococcal myonecrosis) can resemble pyomyositis, although it usually has a more accelerated tempo of illness. While you'll never get 100r more of the cost to install recessed lighting back. The qualified electrician has more room to make. Recessed lighting needs to be installed carefully and correctly in order to last. Recessed lights will do wonders for any place you want good lighting and an uncluttered look. Your recessed lighting problems are no doubt a safety sensor turning off the electric. Recessed lighting fixtures are comprised of two primary components, the housing itself and the trim. Working with electrical installation makes me very nervous! Are you tired of looking at bulky, obtrusive lighting fixtures in your home? May be preceded by skin abrasions, blunt trauma, heavy exercise.